22:28:50 - 28 اردیبهشت 1405

شبکه بهداشت و درمان شهرستان تکاب

(دانشگاه علوم پزشکی آذربایجان غربی)
برای جستجو عبارت موردنظر خود را وارد کنید
  • 1404/07/05 - 09:38
  • - تعداد بازدید: 107
  • - تعداد بازدیدکننده: 104
  • زمان مطالعه : کمتر از یک دقیقه
  • /ZXvc
به گزارش روابط عمومی شبکه بهداشت و درمان تکاب

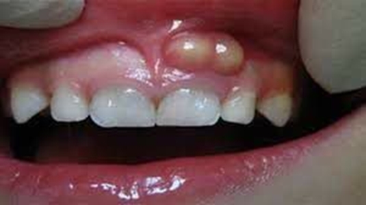
آنچه باید درباره آبسۀ فک و دندان و پیشگیری از آن بدانیم

علل آبسه دندان:

 

دﻧﺪان از ﺑﻴﺮون داراى ﺳﺎﺧﺘﺎر ﺳﻔﺖ و ﻣﺤﻜﻢی اﺳﺖ ، اﻣﺎ داخلیﺗﺮﻳﻦ ﻗﺴﻤﺖ آن (ﭘﺎﻟﭗ دﻧﺪان) ، از اﻋﺼﺎب ، ﺑﺎﻓﺖ ﻫﻤﺒﻨﺪ و ﻋﺮوق ﺧﻮنی ﺗﺸﻜﻴﻞ ﺷﺪه ﻛﻪ ﮔﺎهی در اﺛﺮ ﻋﻮاﻣﻞ مختلفی ﻋﻔﻮنی می‌ﺷﻮد.

 

ﺑﻪ ﻃﻮر کلی آﺑﺴﻪ دﻧﺪان، اﻏﻠﺐ ﻧﺎشی از ﻣﻮارد زﻳﺮ اﺳﺖ:

 

1- ﻋﺪم رﻋﺎﻳﺖ ﺑﻬﺪاﺷﺖ دﻫﺎن و دﻧﺪان و ﻛﻮﺗﺎهی در ﻣﺴﻮاک زدن و ﻧﺦ دﻧﺪان ﻛﺸﻴﺪن

2- داﺷﺘﻦ رژﻳﻢﻫﺎى ﻏﺬایی ﺳﺮﺷﺎر از ﻗﻨﺪ

3- ﭘﻮﺳﻴﺪگی دﻧﺪانی و اﻳﺠﺎد ﺣﻔﺮه ﻋﻤﻴﻖ در دﻧﺪان

4- بعضی ﺑﻴﻤﺎرىﻫﺎ از ﺟﻤﻠﻪ دﻳﺎﺑﺖ و ﻣﺼﺮف ﺑﺮخی داروﻫﺎ 

5- آﺳﻴﺐ و ﺻﺪﻣﻪ ﺑﻪ دﻧﺪان و ﺗﺮکﺧﻮردگی آن

  • گروه خبری : آخرین اخبار
  • کد خبر : 20233
کلمات کلیدی
محمدرضا سمائی
خبرنگار

محمدرضا سمائی

تنظیمات قالب